Profile Image

Hanbie Ryu | HBRYU

Seoul, South Korea | hanbie.ryu@yonsei.ac.kr | | CV

[0] [1] [2] [3] [4] [5] [6]

Engineer, Designer, & Game Developer


I was born in Sheffield, England and I am currently majoring in Artificial Intelligence at Yonsei University

I have over 7 years of experience in C# development using Unity, and I am proficient in Python for machine learning and data analysis. Combining these areas, I aim to research better ways to develop more intelligent systems in virtual environments like video games, or applying them to robotics to solve complex real-world problems.


- Research Interests -

Deep reinforcement learning and applying advanced AI agents to
virtual and physical environments to tackle complex, challenging tasks


Education

- Yonsei University, Dept. of Artificial Intelligence (B.S, Sophomore) March 2023 – Present

- Cumulative GPA: Overall: 4.06/4.3 | Major: 4.15/4.3 | (Ranked 4/47 in class)

Coursework: Computer Programming, Object-Oriented Programming, Data Structures, Discrete Mathematics,
Linear Algebra, Probability and Statistics, CS231n (Stanford University open course)

Honors and Qualifications

(Honors are awarded to students who rank within the top 10th percentile in their college based on GPA)

- TOEIC: 965/990


- Project Highlights -


Evolution Sim in Unity - 2024

1 | Graph-based NeuroEvolution of Augmented Topologies (NEAT) simulation

2 | Neural network system with mutations and genetic crossovers

3 | Live visualizer to enable real-time analysis

4 | Includes various environments:

[github.com/HBRYU/ShittyDarwinInc]

Darwin Simulation

Blade Weaver - 2023 ~ 2024

1 | Game development passion project, made in Unity (C#)

2 | Fluid combat controls, advanced AIs and procedural animations

3 | Pixel graphics and animations are made in Aseprite, SFX in FL Studio

4 | Talk at 2023 SKYST Conference, Seoul Campus, KAIST, August 2023

5 | [github.com/HBRYU/Tower_B-40]


- Research Experience -


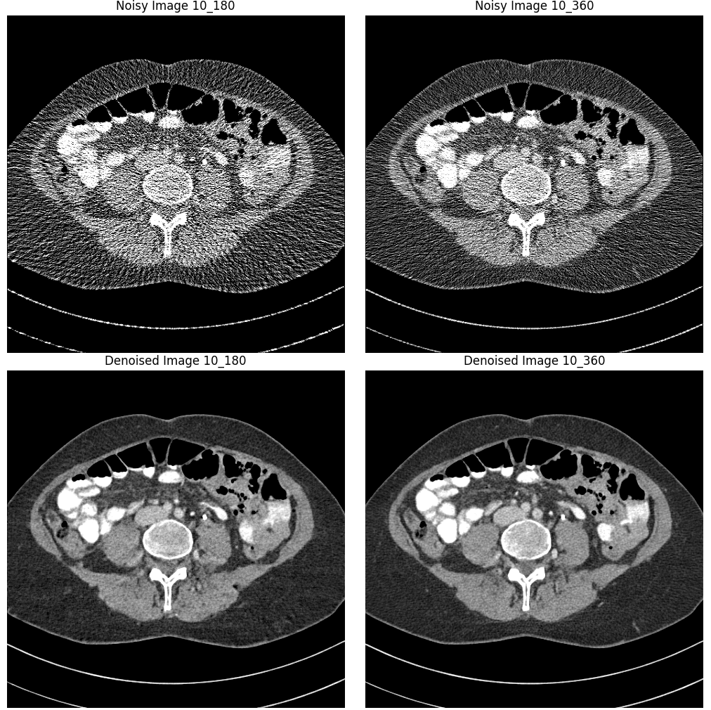
CT Image Denoising at Medisys Lab, Yonsei University - 2024

As an undergraduate research intern, I understood and implemented image processing solutions using a variety of CNN architectures and training methods

Personal contributions:

[Medisys Lab]

CT Image Example

Blog Posts

Control Strategies for Physically Simulated Characters Performing Two-player Competitive Sports
by Hanbie Ryu, Dept. of AI, Yonsei University, 2024


Technologies


Personal Life

I enjoy drawing on my free time, as well as playing the piano and composing music.

I also enjoy photography:


feel free to grab the source code for this page